Diagnostické systémy pro stomatologii

KODAK
DENTAL
SERVIS

Carestream Dental CS 7600

Využijte výhod skutečně zautomatizovaného a zabezpečeného pracovního postupu

Vynikající výkon je nezbytností

CS 7600 nabízí vše, co očekáváte od vysoce výkonného intraorálního systému záznamu na fólie, tedy rychlost, kompaktnost konstrukce, trvale vysokou kvalitu snímků a kromě toho ještě něco navíc. Naše jedinečná technologie „Exponuj a jdi“ (Scan and Go) automatizuje provoz systému, vylučuje chyby a šetří náklady.

Skutečně zautomatizovaný pracovní postup

Na rozdíl od ostatních zobrazovacích systémů na záznamové fólie, není systém CS 7600 zablokován v průběhu skenování fólie. Technologií Scan and Go je každá záznamová fólie před vyšetřením elektronicky identifikována a snímky jsou automaticky odeslány do příslušného počítače a složky konkrétního vyšetřovaného pacienta. Tím se nejen odstraňuje čas čekání v průběhu skenování fólie, ale také riziko chyb při identifikaci snímků.

Popis

Digitální technologie se stejným postupem práce jako při snímkování na film

Práce se záznamovými fóliemi je stejně jednoduchá jako s filmem. CS 7600 tedy zachovává pracovní návyky, ale je rychlejší a výkonnější než tradiční snímkování na film. Rutinní vyšetření jsou automatizována a na zabudovaném monitoru lze ihned sledovat úspěšnost vyšetření bez nutnosti odbíhat k počítači.

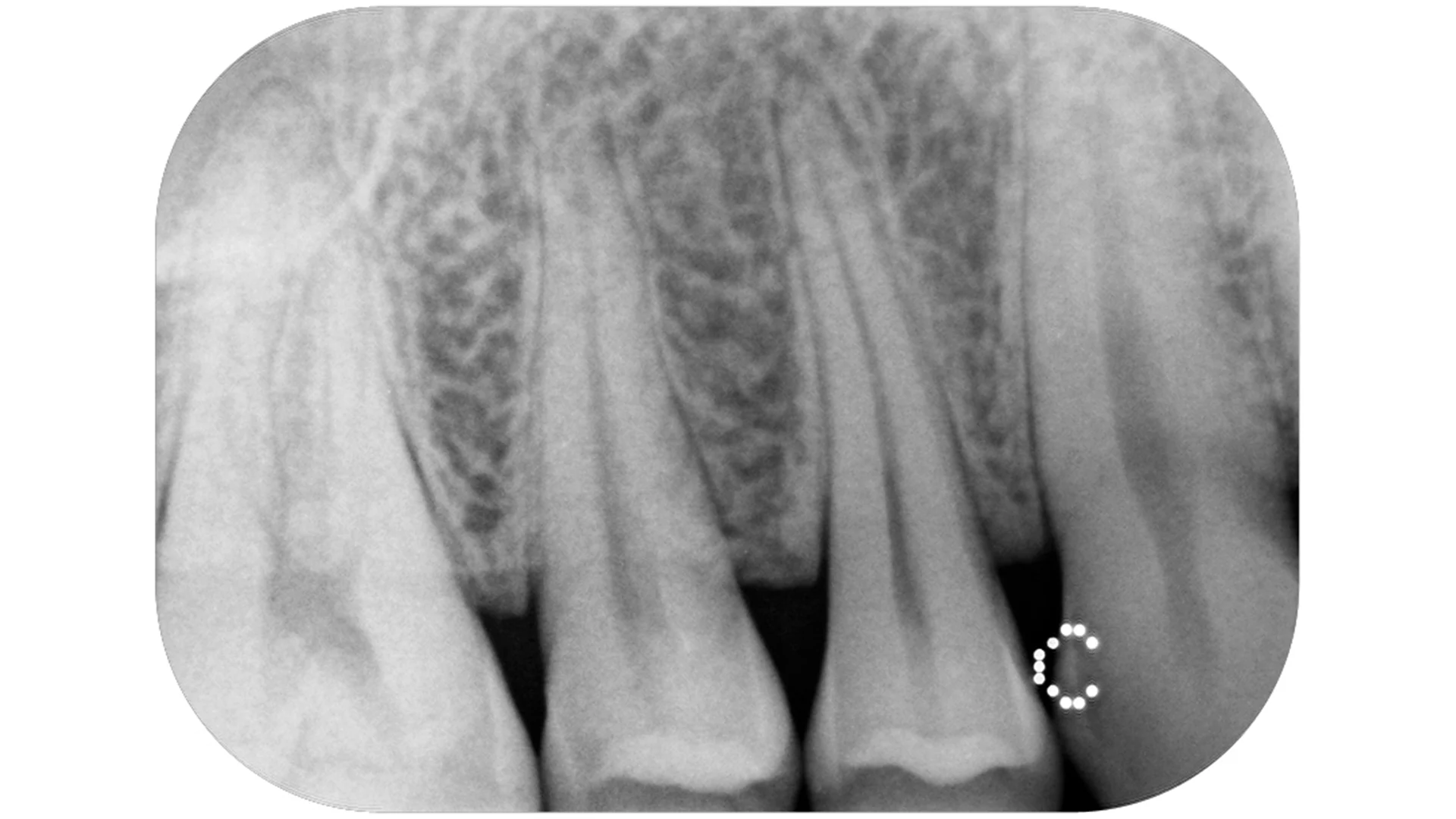
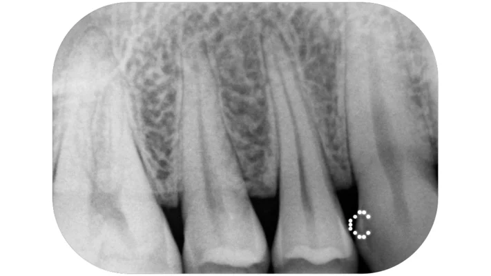
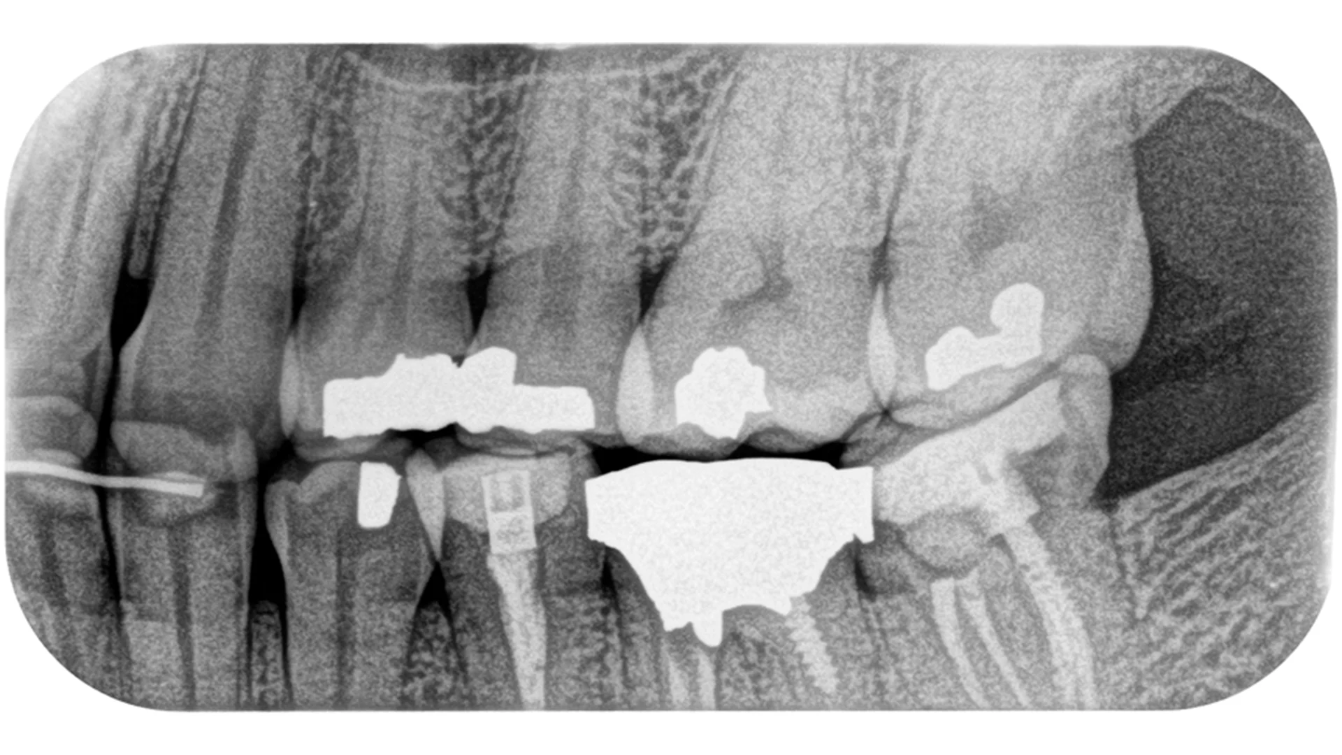
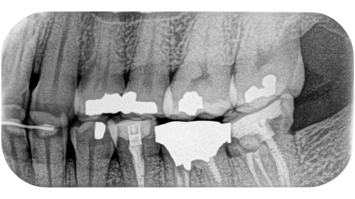
Trvale vysoká rychlost a kvalita

CS 7600 poskytuje rychle a vysoce kvalitní snímky. První snímek uvidíte do pěti vteřin a skenování a zobrazení statusu je hotovo v několika minutách.

  • Vynikající rozlišení obrazu, vysoká rychlost
  • Plně automatizovaný a zabezpečený provoz
  • Odstranění rizika záměny exponovaných fólií a ztráty dat
  • Kompaktní konstrukce umožňuje provoz u křesla nebo centrálně v síti
  • Vnitřní paměť zajišťuje data, brání jejich ztrátě a umožňuje pokračovat v práci i při výpadku sítě
  • Tenké fólie se dodávají ve stejných velikostech jako film (0 až 4)
  • Fólie jsou po každém použití automaticky smazány, umožňují tak stovky opakovaných expozic
  • Zobrazovací software s intuitivní navigací získá ze snímků maximum diagnostické informace
  • Připojení přímo do ethernetové sítě, není potřeba zvláštní počítač

Technické údaje

Nezávazná poptávka
Mám zájem o Carestream Dental CS 7600