Diagnostické systémy pro stomatologii

KODAK
DENTAL
SERVIS

Carestream Dental CS 8200 3D Advance

Zcela nové, vysoce výkonné CBCT kombinované s OPG a s možností modulu Ceph.

Popis

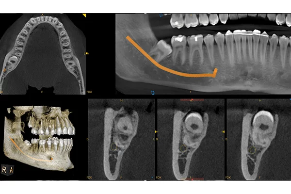
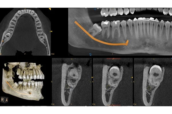
CBCT + OPG

  • Zcela nové grafické ovládací rozhraní s velmi intuitivním panelem
  • Paměť nastavení parametrů a typu projekce každého pacienta, včetně automatického nastavení polohy výšky CBCT.
  • Scout view funkce náhledu správného zacílení 3D objemu
  • Nové Crosss section zobrazení
  • Možnost přímého exportu do plánovacích sw pro navigovanou implantologii
  • Automatické vytvoření OPG pohledu z CBCT skenu
  • Automatické vytvoření projekce Ortho z CBCT skenu (AP, PA, LAT,)
  • Nové FOV 16×10 cm
  • 3D HD obraz s vysokým rozlišením 75 µm i pro velké objemy
  • ANR pokročilá redukce šumu
  • MAR patentované potlačení artefaktů s živým náhledem efektu filtru pomocí nezávislého algoritmu 3D (zcela unikátní)
  • Ultrakompaktní design – velmi malé rozměry
  • CAD/CAM kompatibilní-skenování otisků a odlitků a převod do stl
  • Režimy snížené dávky a ultra nízké dávky
  • HD endo režim s aktivní redukcí šumu
  • Fast scan – CT obou čelistí již od 6s.
  • Průběžně aktualizovaná knihovna implantátů
  • Propojení s optickými stl skeny IO skenerů
  • Unikátní Tomosharp technologie pro 2D režim (až 400 vrstev v multifokálním režimu)
  • Možnost cílené diagnostiky mandibulárních kloubů 16×6 cm
  • Možnost výpočtů objemů dýchacích cest CS Airway
  • Automatický maping mandibulárních kanálů
  • AI navrhování a umístění implantátů pomocí umělé inteligence

Modul Ceph (Telerentgen) – option

  • Modul Ceph až do formátu 26 x 24 cm
  • Rychlý sken již od 3s
  • Plně automatická analýza (Ricketts, MacNamara, Steiner, Tweed a další) s možností úpravy stávajících a tvorby vlastních analýz.

Technické údaje

Nezávazná poptávka
Mám zájem o Carestream Dental CS 8200 3D Advance